Nowoczesne zabiegi endoplastyki stawu u podstawy kciuka w naszym szpitalu.
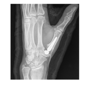
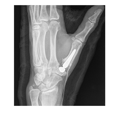
Od listopada 2024 roku w naszym Oddziale wykonywane są zabiegi endoplastyki stawu śródręczno-nadgarstkowego pierwszego (CMC I), który znajduje się u podstawy kciuka. Jest to ważny staw odpowiedzialny za prawidłową ruchomość i sprawność ręki, szczególnie podczas czynności codziennych.
Objawy i przyczyny dolegliwości
Zmiany zwyrodnieniowe w obrębie tego stawu mogą powodować ból oraz ograniczenie ruchomości, które pacjenci najczęściej odczuwają podczas:
- korzystania ze smartfona,
- odkręcania słoików lub butelek,
- chwytania i podnoszenia przedmiotów.
Nasilające się dolegliwości mogą znacząco obniżać komfort życia i utrudniać wykonywanie codziennych czynności.
Na czym polega zabieg
Zabieg endoplastyki polega na zastąpieniu uszkodzonego stawu endoprotezą, co pozwala na:
- skuteczne złagodzenie dolegliwości bólowych,
- przywrócenie prawidłowej ruchomości kciuka,
- poprawę funkcjonalności ręki.
Dzięki zastosowaniu nowoczesnych technik operacyjnych i wysokiej jakości implantów, pełna ruchomość ręki jest możliwa do osiągnięcia już po około 6 tygodniach od zabiegu.
Stosowane implanty – Touch CMC I
W naszym ośrodku wykorzystujemy implanty Touch CMC I, które charakteryzują się:
- dwumobilną konstrukcją, umożliwiającą ruch w dwóch miejscach,
- bardzo dobrą ruchomością stawu,
- wysoką stabilnością, co wiąże się z niskim ryzykiem zwichnięcia.
Dzięki temu pacjenci zyskują większy komfort po zabiegu, a rehabilitacja przebiega szybciej i skuteczniej.

